Echeverri Dental Center

Early Orthodontic Intervention

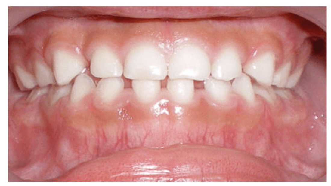
This child presented with a crossbite and an underbite that impacted their ability to chew comfortably. Compromised bites can also result in damage to teeth that are chewing in ways they were not designed to do. 

Why Is Early Orthodontic Treatment Important?

Early orthodontic treatment allowed our pediatric dentists to widen the upper jaw, which moved it into the correct position over the lower jaw. Now the patient can chew more comfortably. 

Phased orthodontic treatment also sets the stage for an easier treatment focusing on tooth alignment when the patient is around 12 to 14 years old.

Learn More about Children's Orthodontic Treatment

Children should have their first orthodontic evaluation around the ages of seven to eight, as some kids benefit from early treatment. Contact your dentist in Spring Branch at (713) 956-8787 to learn more about orthodontic treatment. 

Related Services:

Orthodontics for All Ages
Best dental office in Houston!!

Best dental office in Houston!! My brother and I started coming here as young kids and we have received amazing dental work, from regular cleanings to braces. Dr. Echeverri and the rest of his staff are always accommodating and treat every patient like family. Now a days, my daughter sees Dr. Kendrick and she’s still as amazing as she was with me when I was her patient. I’ve recommended family and friends to this dental office and they have all made it their permanent place for dental work.

-Dayra A.

Ready to book an appointment?
If you have difficulty using our website, please email us or call us at (713) 956-8767
View the ADA Accessibility Statement