Echeverri Dental Center
Orthodontics for All Ages
Do You or Your Child Need Orthodontics?

We offer orthodontics for patients of all ages, including phase one treatment, traditional braces, and clear aligner therapy.

family with orthodontics in Spring Branch, TX
Do You or Your Child Need Orthodontic Treatment?
Book an Evaluation

Orthodontics in Spring Branch, TX

A smile is the first thing most people notice when meeting someone new. 

At Echeverri Dental Center, we offer comprehensive orthodontics in Houston, TX, in the Spring Branch neighborhood, for patients of all ages to help them achieve the smile they want. Whether your child needs traditional braces or you want to learn more about clear aligner therapy, we can help so everyone in your family achieves a beautiful smile.

Interceptive Orthodontics for Children

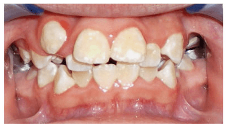
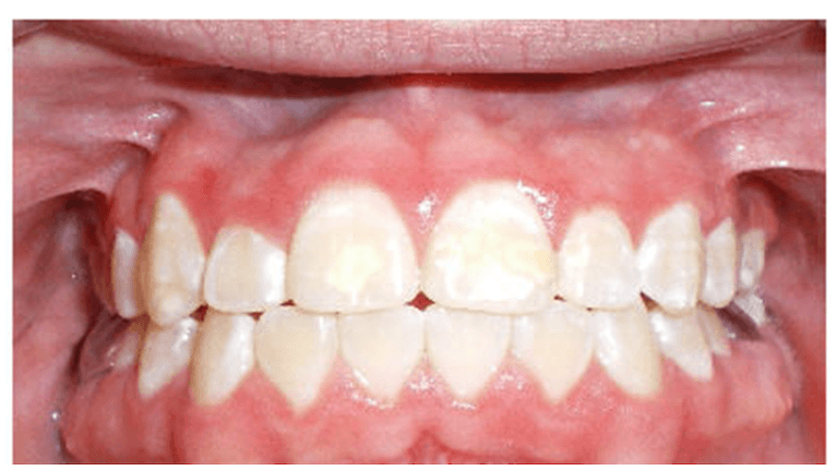
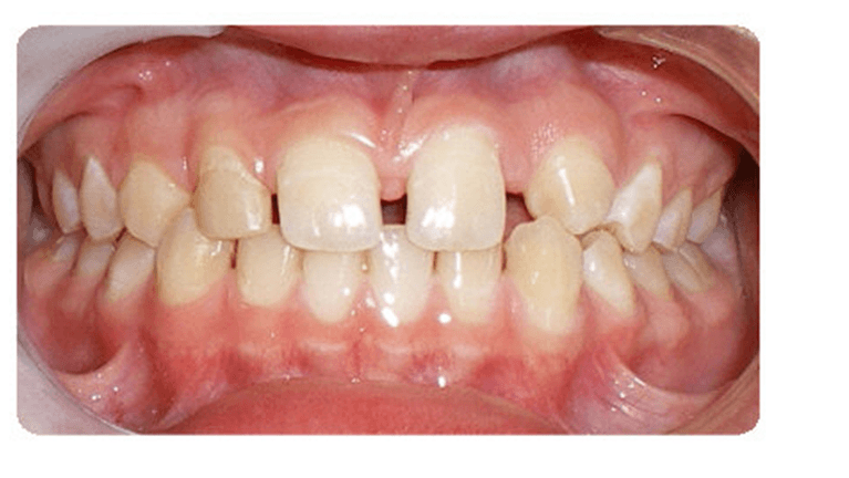
This type of treatment is also referred to as Phase 1 orthodontics. Its purpose is to take advantage of a child’s early dental development to correct bite problems (malocclusions) like overbites, underbites, open bites, and crossbites.

Not every child needs interceptive orthodontics, but our board-certified pediatric dentist, Dr. Elsa Echeverri, recommends an orthodontic evaluation for all children by age seven. An evaluation doesn’t automatically mean your child will need braces, but it allows Dr. Elsa to determine if early treatment would benefit them.

Phase 1 may involve dental appliances like retainers, space maintainers, or palatal expanders to create space in the jaw for teeth to come in straight. Each child is unique, but Phase 1 may minimize the length of future orthodontic treatment and, sometimes, eliminate the need for it altogether.

Benefits of Straight Teeth

Orthodontics will enhance your appearance and can also positively impact your oral health.

Easier Brushing and Flossing
With straighter teeth, you won’t have to worry about food or debris becoming embedded in the gaps and spaces between your teeth.
More Comfortable Chewing
Each tooth does a specific job when eating and chewing food. Crooked teeth or a bad dental bite throw off this balance and make it difficult or painful to eat certain foods.
Minimize Dental Wear
Orthodontics minimizes wear and tear often resulting from crooked teeth or a misaligned dental bite because straight teeth share the load equally.

Frequently Asked Questions

We offer comprehensive orthodontics at Echeverri Dental Center for all ages, including clear aligner therapy similar to Invisalign. Clear aligners are an excellent alternative for an older teen or adult who wants straighter teeth without metal braces!

Treatment involves wearing a series of clear aligners customized just for your smile. Your dentist maps out your treatment using specialized software to plan the type and extent of movement needed to align your teeth. 

Wearing Your Clear Aligners

When your custom aligners are ready, we provide instructions that tell you to wear each set for 22 hours a day for about two weeks. The number of aligners you receive corresponds to your dentist’s plan, and when you’ve worn them all, you’re finished with treatment. The final step is to wear a custom retainer as instructed to prevent your teeth from relapsing to their crooked positions.

The Benefits of Clear Aligner Therapy

Adults and teens appreciate the benefits clear aligners offer that bracket-and-wire braces don’t, including:

  • Discreet — You can keep your treatment a secret because most people won’t notice you’re wearing aligners.
  • Comfortable — No metal brackets and wires on your teeth means less irritation and soreness.
  • Removable — You can easily remove your aligner trays and continue to eat the foods you want and brush and floss easily.

Learn More about Clear Aligners in Spring Branch, TX

If you’d like to straighten crooked or crowded teeth or need bite correction, clear aligners like Invisalign may be the best solution for you. Please contact Echeverri Dental Center at your earliest convenience so we can schedule an appointment to provide more information.

Invisalign First™ offers early orthodontic intervention for kids ages seven to nine. 

Children with severe tooth crowding or early bite issues, such as an underbite, overbite, crossbite, or open bite, might benefit from early orthodontic treatment to correct these concerns while they're growing. 

Invisalign for kids in Spring Branch, TX, offers options for children to complete their early orthodontic treatment with clear aligners instead of other orthodontic appliances. Your pediatric dentist at Echeverri Dental Center can help determine if this option would be successful for your child or if they would benefit from a space maintainer or palatal expander.  

The Advantages of Early Intervention in Spring Branch

Early orthodontic treatment takes advantage of your child's growth patterns to expand their palate and eliminate overcrowding. It can correct severe bite concerns that could make chewing food difficult, impacting your child's diet and nutrition. It can also improve their smile aesthetics and build confidence and self-esteem.

Contact Echeverri Dental Center

If your child is around age seven or eight, it's time for their first orthodontic evaluation. Not every child needs early intervention, but those who do will benefit from getting started immediately. 

Contact our Houston dental office in Spring Branch at (713) 956-8767 to learn more about braces for kids. 

Children commonly get full braces between ages 9 and 14, but that doesn’t mean a six-year-old can’t benefit from a visit to the orthodontist. Age seven is the recommended age for an orthodontic evaluation at our Houston dental office, but you are welcome to bring your younger child in anytime if you have concerns. 

Interceptive or Phase 1 Orthodontics

The treatment a child would receive at age six is called interceptive orthodontics or Phase 1 orthodontics. This early intervention allows our pediatric dentist to address issues they can’t correct after your child’s face and jaw stop growing. 

Some reasons we would recommend early orthodontic treatment include the following:

  • Create space in the jaw for adult teeth to erupt properly
  • Address a malocclusion or bite problem
  • Hold space for teeth that haven’t erupted
  • Minimize trauma to protruding front teeth
  • Reduce the need to remove teeth 
  • Speed up braces’ treatment times

Does Your Child Need Braces?

When your child is losing baby teeth and gaining adult teeth, you might notice that some teeth seem to come in at an angle. This does not automatically mean your child needs braces! It’s common for incoming adult teeth to straighten into the correct position as they emerge and your child’s mouth grows. 

However, you are always welcome to call Echeverri Dental Center and book an appointment at our Houston, TX, dental office. We treat children of all ages, from infants to teens, and are happy to see your child and answer your questions. We are conveniently located in the Spring Branch neighborhood of Houston.

If you’re considering Invisalign for kids, you might be wondering if it’s the right choice for your child’s smile. Invisalign is a comfortable, removable, and nearly invisible alternative to traditional braces, designed to straighten teeth without the hassle of metal wires and brackets. But is your child a good candidate? The only way to truly determine this is to schedule a consultation. However, below are some helpful tips.

Who Is a Good Candidate for Invisalign?

  • Ages 7 and Up — Invisalign First is designed specifically for younger children who have a mix of baby and permanent teeth.
  • Mild to Moderate Orthodontic Issues — It works well for crowding, spacing, and minor bite misalignments, but severe cases may still require traditional braces.
  • Good Oral Hygiene Habits — Because Invisalign aligners are removable, kids need to be responsible enough to brush and floss properly before putting them back in.
  • Commitment to Wearing Aligners — For Invisalign to be effective, the aligners must be worn 20-22 hours a day. Kids who may forget or frequently remove them might not get the best results.

If your child meets these criteria, Invisalign for kids could be a great way to achieve a straighter, healthier smile.

Call Us for Invisalign for Kids in Spring Branch 

Schedule a consultation today to see if Invisalign is the right fit and to discuss your child's orthodontic options in Spring Branch.

Invisalign for Kids: A Clear Path to a Straighter Smile

invisalign for kids spring branch | kid putting in alignerIf your child needs orthodontic care but isn’t thrilled about the idea of metal braces, Invisalign for kids offers a comfortable, nearly invisible solution designed specifically for growing smiles. Unlike traditional braces, Invisalign uses custom-made, removable aligners that gently guide teeth into their ideal position—without the hassle of brackets and wires.

How Does Invisalign Work for Kids with Growing Teeth?

One of the biggest concerns parents have is whether Invisalign for kids is effective while their child’s teeth are still developing. The answer is yes! Invisalign First is specially designed to accommodate growing jaws and incoming teeth, making it an excellent choice for early orthodontic treatment. These aligners help create space for erupting teeth while correcting alignment issues before they become more severe.

What Dental Issues Can Invisalign Correct in Children?

Invisalign for kids is ideal for treating a variety of orthodontic concerns, including:

  • Crowding and spacing issues — Helps guide teeth into proper alignment as they grow
  • Mild to moderate bite issues — Corrects overbites, underbites, and crossbites before they worsen
  • Tooth alignment problems — Straightens crooked or overlapping teeth for a healthier, more confident smile

With Invisalign for kids, your child can enjoy a comfortable, flexible treatment while still eating their favorite foods and brushing without obstacles. Plus, fewer dental office visits mean less time in the chair and more time being a kid!

Testimonial

Best dental office in Houston!!

Best dental office in Houston!! My brother and I started coming here as young kids and we have received amazing dental work, from regular cleanings to braces. Dr. Echeverri and the rest of his staff are always accommodating and treat every patient like family. Now a days, my daughter sees Dr. Kendrick and she’s still as amazing as she was with me when I was her patient. I’ve recommended family and friends to this dental office and they have all made it their permanent place for dental work.

-Dayra A.

See More Testimonials

Comprehensive Orthodontics for All Ages in Spring Branch East

Comprehensive orthodontics is appropriate for children and adults and involves fixing the bite and alignment of all teeth. With traditional braces, the force placed on teeth by brackets and wires brings teeth into the correct alignment. Treatment times with traditional orthodontics depend on you or your child's needs but typically take 18–24 months.

Clear Aligner Therapy for AdultsOrthodontics in Spring Branch, TX

Clear aligner therapy is an excellent alternative if you’re an older teen or adult interested in straightening your teeth but don’t want metal braces.

Treatment involves wearing a series of clear aligners customized to move your teeth into a straight position. Adult patients appreciate the benefits clear aligners offer that bracket-and-wire braces don’t, including:

  • Discreet — Most people won’t notice you’re wearing your aligners. 
  • Comfortable — No metal brackets and wires on your teeth mean less irritation and soreness.
  • Removable — Clear aligner trays are removable, so you can continue to eat your favorite foods and brush and floss easily.

Compliance with Wearing Your Aligners Is Key

While clear aligner therapy is comfortable and convenient, you do have to commit to wearing them for 22 hours a day. Leaving them out for longer periods doesn’t just slow down treatment—left too long, it can start to undo any progress you’ve already made.

Orthodontics for All Ages Technology

spring branch dentist | panoramic x-rays

Panoramic X-Rays

Sometimes your dentist needs to use a panoramic x-ray to view your entire mouth in a single image. This type of x-ray allows them to see all the structures of your mouth, including wisdom teeth and upper and lower jaws. Panoramic x-rays are taken outside the mouth, and you stand in front of the machine as its arm rotates around your head. Taking x-rays this way is great for children, patients with special needs, and those who can’t stand intraoral x-rays.

A Straighter Smile is a Phone Call Away!

At Echeverri Dental Center, we want to help you feel confident in your grin. Let our expert team of specialists help you attain a beautiful, straight smile with our orthodontic options.

Contact our Houston, TX, dental office to schedule an appointment to learn how we can help you! Our location in the Spring Branch East neighborhood offers convenient access from Houston.

BLOGS

group of kids in spring branch, tx

The Difference Between Interceptive Orthodontics and Traditional Braces

May 19, 2025

If your child is showing early signs of orthodontic issues, you may wonder: Should we start treatment now or wait until all their adult teeth have come in?

Understanding the difference between interceptive orthodontics (also known as Phase 1 treatment) and traditional braces (Phase 2 or comprehensive treatment) is crucial for making an informed decision.

What Is Interceptive Orthodontics (Phase 1)?

Interceptive orthodontics typically begins between the ages of 6 and 10, while a child still has a mix of baby and permanent teeth. The goal is to correct developing problems, such ...

Read More
Kids with orthodontic options in Spring Branch, TX

Orthodontic Options for Kids: Braces, Invisalign, and More

April 20, 2025

Orthodontics for kids in Houston, TX, is designed to give them a healthy adult smile. Of course, straight teeth are aesthetically pleasing, but they are also easier to care for. An aligned bite reduces tooth wear and tear and lowers cavity risks.

Our Houston orthodontics for kids includes prevention or interceptive treatments. In other words, we can take measures early to help your child forego orthodontics in the future or shorten the time they’ll need to wear braces.

Why Start Orthodontic Care Early? The Power of Interceptive Treatment

Key Milestone: The Age ...

Read More
Clear Aligner Therapy for Adults in Houston, TX
If you have difficulty using our website, please email us or call us at (713) 956-8767
View the ADA Accessibility Statement
Privacy Policy