Echeverri Dental Center

Early Orthodontic Treatment

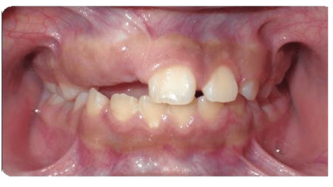
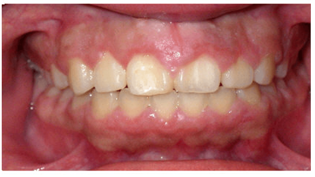
This patient presented with severe tooth misalignment, making it difficult for them to chew effectively. Our pediatric dentists corrected the situation with early orthodontic intervention using limited braces to address tooth alignment. 

Early tooth correction sets the patient up for success for a second phase of tooth alignment with braces or clear aligners in the future. 

Learn More about Braces for Kids in Houston, TX

Children should have their first orthodontic evaluation at age seven or eight. Some kids benefit from early intervention, while others can wait to start orthodontic treatment between the ages of 12 and 14. 

Contact Echeverri Dental Center at (713) 956-8767 for more information or to schedule an orthodontic evaluation for your child. 

Related Services:

Orthodontics for All Ages
Best dental office in Houston!!

Best dental office in Houston!! My brother and I started coming here as young kids and we have received amazing dental work, from regular cleanings to braces. Dr. Echeverri and the rest of his staff are always accommodating and treat every patient like family. Now a days, my daughter sees Dr. Kendrick and she’s still as amazing as she was with me when I was her patient. I’ve recommended family and friends to this dental office and they have all made it their permanent place for dental work.

-Dayra A.

Ready to book an appointment?
If you have difficulty using our website, please email us or call us at (713) 956-8767
View the ADA Accessibility Statement