Echeverri Dental Center
Home
About
Our Team
Technology
Office Pictures
Services
View All
Pediatric Dentistry
Family Dentistry
General & Restorative Dentistry
Wisdom Tooth Extraction
Dental Implants
Orthodontics for All Ages
Cosmetic Dentistry
Dental Crowns
Sedation Dentistry
Full & Partial Dentures
Periodontal Disease Treatment
Teeth Whitening
Root Canal Treatment
Smile Gallery
Testimonials
Patient Info
View Patient Info
Patient Notices
Forms
Financial
FAQs
Blog
Academic Articles
Contact
Echeverri Dental Center
Request an Appointment
Like us on Facebook
Visit us on Yelp
Watch our Youtube Videos
Leave a Google Review
Instagram
7844 Long Point Rd Houston, TX 77055
(713) 956-8767
Pay Online
Book Now
Echeverri Dental Center
>
Smile Gallery
>
Case 8
Case 8
Return to Smile Gallery
Previous
Next
Click image to see a larger picture
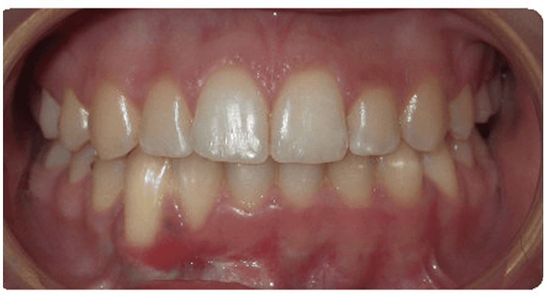
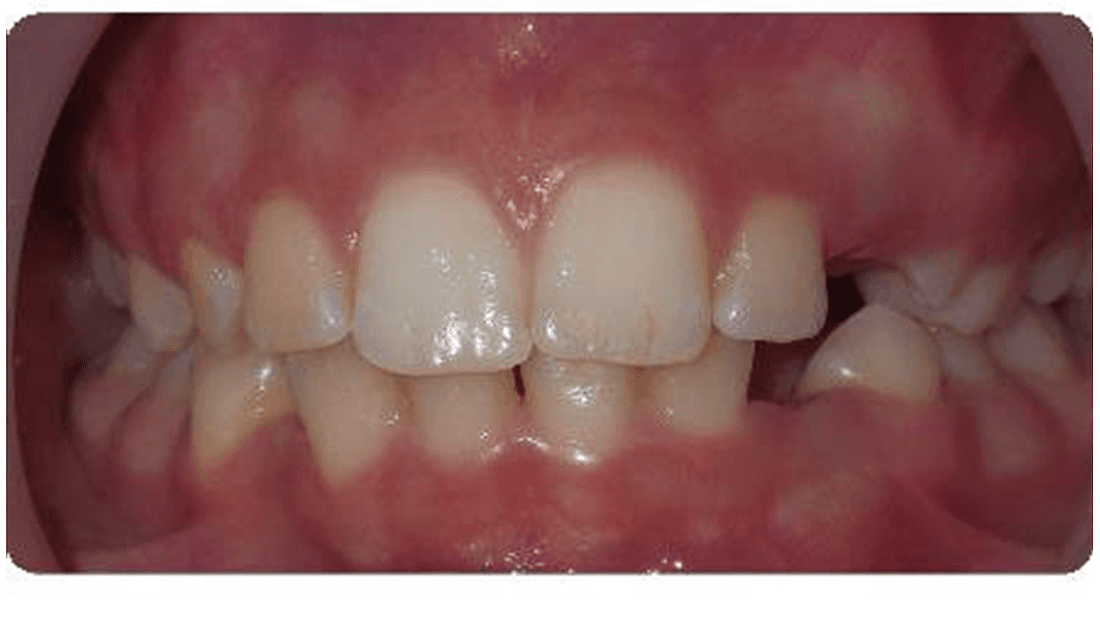
Before
After
Not finding what you need?
Contact Us
If you have difficulty using our website, please
email us
or call us at
(713) 956-8767
View the
ADA Accessibility Statement
Turn on ADA Views
OK!
×
×
Contact Us Today
Give Us A Call
Echeverri Dental Center -
(713) 956-8767
Send Us an Email
Request an Appointment
Contact
Ready to Schedule an Appointment?
Request an Appointment
Have Questions? Contact Us:
Required Field
Your Name:
Phone:
Email:
Are you a new patient?:
Are you a?
New Patient
Current Patient
How would you like us to contact you?
Please choose
Email
Call
How did you hear about us?
Please choose
I'm an existing patient
Google/Bing
Mailer
Word of mouth
Social media
Other
Who Referred You?:
Appointment Preferences
Monday
Tuesday
Wednesday
Thursday
Friday
Your Message:
By checking this box, you authorize our office to contact you via text message.
This site is protected by reCAPTCHA and the Google
Privacy Policy
and
Terms of Service
apply.
Sending...
×
This Patient's Experience
Loading Testimonial...
Loading Case...