Echeverri Dental Center

Children's Orthodontics - Correction of Underbite

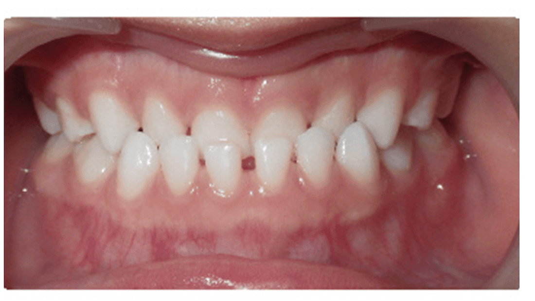
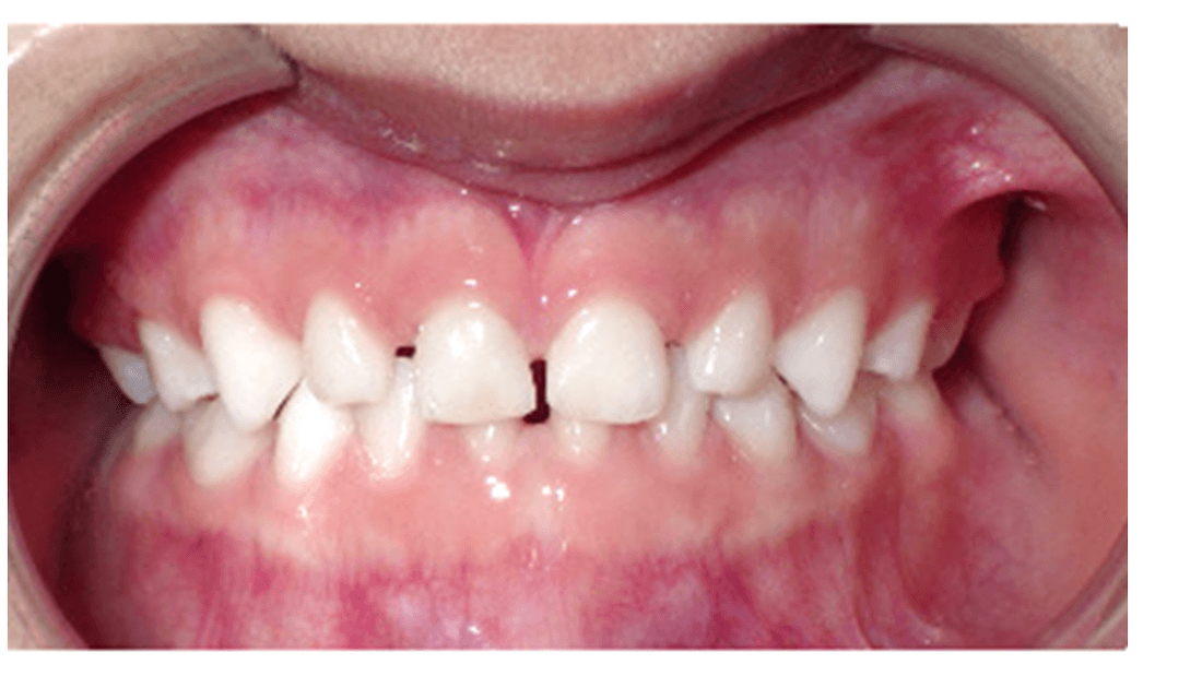
This patient presented with an underbite, where their lower teeth were locking over the upper teeth. An underbite can make chewing difficult and result in damage to both lower and upper teeth when they are performing in ways they weren't designed for. 

With early orthodontic intervention, our pediatric dentists were able to use the child's growth patterns to expand and move the upper jaw into its correct position. This sets the stage for an easier phase two of orthodontic treatment that focuses on tooth alignment when the child is 12 to 14 years old.

Are You Interested in Braces for Kids? Call Us!

Some children benefit from early orthodontics, and therefore, children should have their first evaluation at age seven or eight. 

Contact Echeverri Dental Center at (713) 956-8767 to schedule your child's orthodontic evaluation. 

Related Services:

Orthodontics for All Ages
Best dental office in Houston!!

Best dental office in Houston!! My brother and I started coming here as young kids and we have received amazing dental work, from regular cleanings to braces. Dr. Echeverri and the rest of his staff are always accommodating and treat every patient like family. Now a days, my daughter sees Dr. Kendrick and she’s still as amazing as she was with me when I was her patient. I’ve recommended family and friends to this dental office and they have all made it their permanent place for dental work.

-Dayra A.

Ready to book an appointment?
If you have difficulty using our website, please email us or call us at (713) 956-8767
View the ADA Accessibility Statement